실비보험 안내
의료 실비 보험 안내
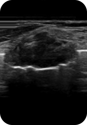
맘모톰, 비후성/알레르기 비염, 비중격 만곡증, 비밸브 협착증 등
질환에 따라 3DCT, 내시경 검사, 고해상도 초음파를 통해 정밀진단 후
정확한 증상에 따라 보험 실비 청구가 가능합니다.
*가입한 보험 가입조건에 따라 개인마다 적용 여부 및 범위가 다를 수 있습니다.
보험 청구 가능한 질환
디에이성형외과
실비보험 청구 절차
보장 가능한 보험
의료 실비보험은 가입시점, 보장내용 등에 따라 개인별 보장내역이 다릅니다.
자세한 내용은 병원에서 진단 받은 후 해당 내용을 바탕으로 보험사에 문의하는 것이 정확합니다.
생명보험
특약에 따른
일정 한도의 금액만 보장
실비보험
실제 발생한 비용을 보상
*치료 목적의 경우 병원비의 80 ~ 90% 환급 가능
가능
디에이에서는 고객분들의 문의사항에 대해
자세하게 안내해드리고 있습니다.
전화상담 02.515.4600
카톡상담 디에이성형외과
D A P L A S T I C S U R G E R Y
기능도 미용도 디에이에서!
대학병원급 검사 장비
각 분과 전문의 상주
유방외과 전문의 / 이비인후과 전문의
디에이성형외과에서는 대학병원급 검사 장비 시스템
각 분과의 전문의와 성형외과 전문의가 협진하여
기능적인 질환 치료와 미용을 동시에 개선할 수 있습니다.
디에이 안심빌딩.
지하 1층 지상 12층 규모 층별 전문시스템
디에이 성형외과는
체계적인 협진, 최신식 설비를 통해
상담, 진료, 수술, 회복 등 세분화된 각 층별
전문 안심 시스템을 갖추고 있습니다.
늘 고객의 안전을 우선으로 생각하며
심미적, 기능적, 결과로 만족할 수준 높은
의료 서비스를 제공해 드리겠습니다.
전담 의료진(전문의)
상담.
전담 의료진 수술후
케어.
분야별
의료 협진시스템.
마취과 전문의 9인
상주.
최첨단 의료장비.
호텔급 입원실 완비.

